-
企劃室
-
2024-04-30
-
已有 117 人瀏覽
膝關節是民眾活動時重要的關節之一,但隨著年紀增加,退化性膝關節炎的發生機率也逐步提高,接受人工膝關節置換手術的病人也日益增多。而人工膝關節置換手術中,受損的關節軟骨被移除後,將改以人工墊片來取代,骨科醫師特別提醒,不同材質的人工墊片除了磨損率不一樣,也會影響日後膝關節的穩定度,尤其對於年紀較大、且是跌倒高風險的長輩來說又更為重要。
大千綜合醫院骨科醫師容志雄分享近日治療的兩個案例,第一位是93歲的奶奶,20年前曾接受人工膝關節置換手術,使用傳統的人工墊片,近日因跌倒導致整個膝關節骨頭破裂,必須以傳統開刀方式進行治療,用鋼板鋼釘來支撐骨頭,加上病人骨質疏鬆嚴重,另需以石膏副木固定三個月,雖然後續骨頭痊癒也可行動,但她的膝關節彎曲功能卻因此變差。另一位病人是71歲的女士,不小心踩到地上的青苔滑倒,因為6年前她接受人工膝關節置換手術時,使用的是高貼合度的人工膝關節墊片,因此跌倒後雖然關節脫臼錯位,但骨頭整體沒有大問題,只需在輕微的麻醉下將錯位的關節拉回,並針對膝關節股骨內踝撕裂性骨折進行副木固定,一個月就恢復正常,膝關節功能也不會受影響。

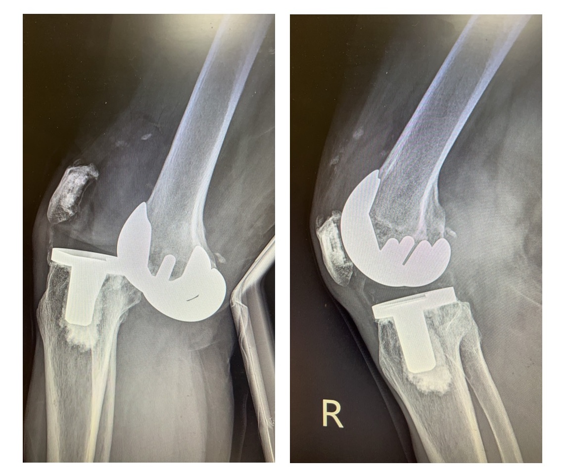
93歲的奶奶使用傳統人工墊片,跌倒後骨頭破裂(左圖紅圈處),須以傳統開刀方式治療(右方上下圖)。

71歲女士使用高貼合度人工墊片,跌倒後僅關節脫臼,骨頭無問題(如左圖),將關節拉回後並無大礙(如右圖)。
過去,傳統的人工墊片需切除較多的骨頭來符合墊片的裝設,而切除的骨頭正是整個膝關節後緣、支撐力最強的股骨;因此,當長輩年紀大、反應差,不小心跌倒時,就容易讓整個人工關節上面的股骨破掉(粉碎性骨折),如同第一位案例的狀況。而現行新型的高貼合人工膝關節墊片,不僅耐磨度高、手術後關節穩定度佳,更因不需切除太多的骨頭,可以保留膝關節股骨後方最堅固有力的骨頭(保留骨本),讓病人在日後若不慎跌倒,也不易傷害到膝關節及其骨頭,且後續復原快、膝關節功能正常。

容志雄醫師表示,人工膝關節置換手術可幫助病人恢復日常生活功能,甚至運動都不受影響,其中人工墊片的選擇扮演重要的角色,因此,建議在接受人工膝關節置換手術之前,可以多了解各種人工墊片的差異,選擇適合的墊片才能確保日後的生活品質。
新聞曝光:
