-
企劃室
-
2024-08-13
-
已有 32 人瀏覽
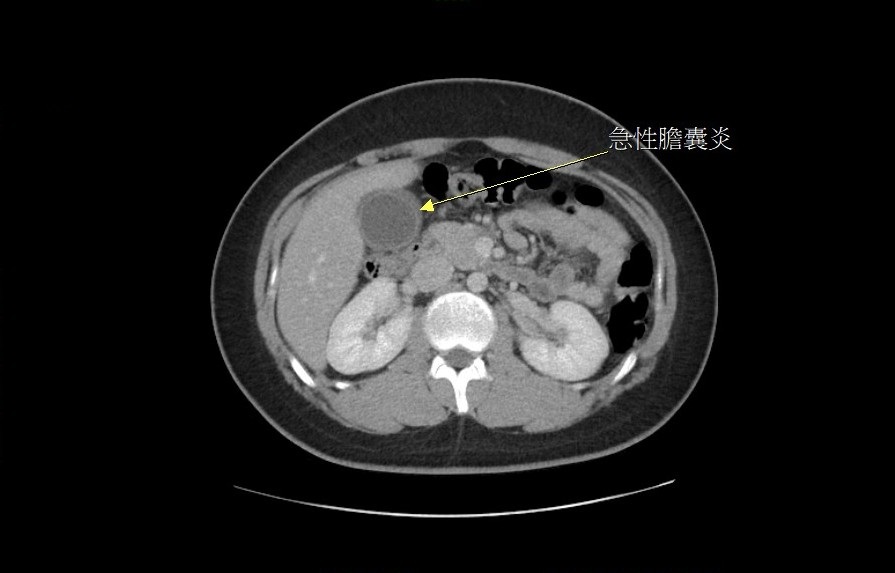
膽結石不只發生在中老年人身上!一位15歲男性國中生因上腹痛多日到急診就醫,經醫師安排電腦斷層及腹部超音波掃描後,發現兩顆分別為2.5公分及1.5公分的膽結石卡住膽囊出口,診斷為急性膽囊炎,並安排腹腔鏡手術治療。術中發現病人膽囊已嚴重發炎、壞死,幾乎已到快破裂的狀態,幸好及時摘除膽囊與結石,才不致引發腹膜炎。

檢查發現,兩顆膽結石卡住膽囊出口,診斷為急性膽囊炎。
大千綜合醫院外科部主任馮啟彥表示,過去膽結石較容易發生在中年以後的肥胖人士,但近幾年發現,發生膽結石的年齡層逐漸下降,究其原因是與肥胖、長期高熱量飲食以及飲食不正常有關,此次案例就是屬於愛吃高熱量油炸類食物(如:炸雞、薯條等),而且體重過重,BMI值高達32,屬於重度肥胖。過去像這種十幾歲就有膽結石問題的病人很少見,但近年來有逐漸增加的趨勢,因此特別提醒家長,要多加留意孩童的體重及飲食狀況。
另外,該名男性國中生到急診就醫前都一直誤以為是胃痛,吃了不少胃藥及止痛藥都沒有改善。馮啟彥主任說明,膽結石的疼痛屬於上腹痛,偶爾會轉移到後背及肩膀疼痛,尤其是在吃飽後,膽囊收縮引起疼痛,這與胃痛總是發生在空腹時不一樣。
膽囊結石一旦造成疼痛,往往都會反覆不停的發炎、發作,若結石不幸掉入膽管,還會引發黃疸和急性胰臟炎。因此,若膽囊結石造成症狀發生時,一定要及早接受腹腔鏡手術切除治療。雖然膽囊切除後的後遺症是病人容易拉肚子,但發生的機率非常低,大多數的病人在手術後都可以正常飲食。

馮啟彥主任提醒,膽結石已逐漸年輕化,家長須特別留意孩童的體重及飲食狀況。
馮啟彥主任提醒,如果有不明原因上腹痛,且服用胃藥也無改善的病人,建議可到門診接受腹部超音波檢查,確認是否為膽結石影響。另外,目前腹腔鏡手術是技術純熟且安全的手術,過程也不會耗費太長時間,就能順利幫助病人解決膽結石的問題。
新聞曝光:
ETtoday新聞雲:https://health.ettoday.net/news/2797114
