-
企劃室
-
2024-08-27
-
已有 28 人瀏覽
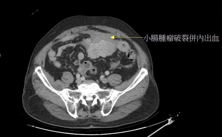
85歲的廖先生因多日不明原因腹痛而到處求診,卻未被診斷出原因,最後因腹痛難耐,無法直立行走,由家人送至大千綜合醫院急診就醫。接受電腦斷層檢查後,赫然發現其小腸處有一個將近10公分的巨大腫瘤,而且已經破裂,造成內出血,經醫師緊急進行開腹手術之後,順利切除小腸腫瘤及部分小腸連接處。病理報告證實為非常罕見的小腸癌,所幸病人術後恢復良好,並持續配合使用口服抗癌藥物。

病人因腹痛就醫,檢查出罕見的小腸癌,且已破裂造成內出血。
大千綜合醫院外科部主任馮啟彥表示,一般腸胃道癌症最常見的是大腸癌,其次是胃癌及食道癌,小腸癌僅佔1%,實屬非常罕見。小腸包含十二指腸、空腸與迴腸等部位,長度達3-4公尺,癌症初期較不易被察覺,且一般胃鏡或大腸鏡很難診斷出來,容易延誤病情。當出現明顯症狀,包含:腹痛、腹脹、嘔吐、食慾不振、體重減輕或貧血時,多數已是晚期。

馮啟彥主任表示,小腸長度較長,不易以胃鏡或大腸鏡診斷。
目前小腸癌發生原因不明,但可能造成的危險因子有許多,例如:罹患其他腸道疾病(克隆氏症、大腸直腸癌、乳糜瀉)、淋巴水腫、遺傳、抽菸、飲酒、高油脂飲食等。
由於小腸癌初期症狀不明顯,馮啟彥主任提醒,民眾應避免小腸癌的危險因子,如有不明原因腹痛等相關症狀,一定要儘早就醫檢查,才不致延誤病情。
新聞曝光:
ET Today新聞雲:https://health.ettoday.net/news/2805219

